症例紹介|津駅で歯科をお探しの方は宮﨑デンタルオフィス(宮﨑歯科)まで
トップ
診療案内
院長・スタッフ紹介・歯科衛生士募集
院内紹介
設備紹介
アクセス
症例紹介
症例紹介(歯周病治療)
トップ
診療案内
院長・スタッフ紹介・歯科衛生士募集
院内紹介
設備紹介
アクセス
症例紹介
症例紹介(歯周病治療)
〒514-0006
三重県津市広明町341
TEL
059-228-4974
診療時間
月
火
水
木
金
土
日
祝
9:30~13:00
●
●
●
/
●
●
/
/
14:00~18:00
●
●
●
/
●
●
/
/
休診日:木曜・日曜・祝祭日
お待たせすることを少なくするため、お電話にてご予約をお願いします。
※完全予約制
Facebook
X
電話
を
かける
アクセス
診療時間
閉じる
診療時間
月
火
水
木
金
土
日
祝
9:30~13:00
●
●
●
/
●
●
/
/
14:00~18:00
●
●
●
/
●
●
/
/
休診日:木曜・日曜・祝祭日
お待たせすることを少なくするため、お電話にてご予約をお願いします。
※完全予約制
Case1
症例紹介
TOP
症例紹介
症例紹介
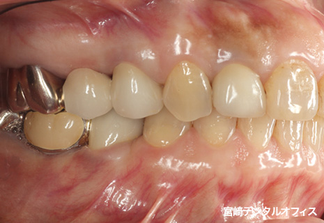
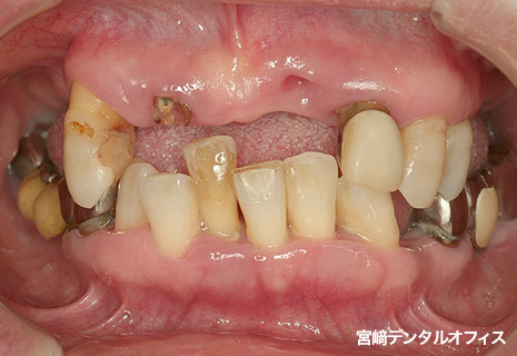
全顎的治療
術前
術後
術前
術後
矯正治療
術前
術後
インプラント治療
術前
術後
術前
術後
審美治療
術前
術後
Page top